受付時間:10:00~17:00
PC・スマートフォンの表示切り替えは、左上のマークから設定できます

FIPかもしれない…
その不安、ひとりで抱えていませんか?

愛する猫の様子が、いつもと違う…
病院で「FIPの疑い」を告げられたとき、きっと頭が真っ白になったことでしょう。

  • FIPの精密検査ができる病院が見つからない…
  • かかりつけ医では「治療はできない」と言われた…
  • 一刻も早く、この子のための治療を始めたい
  • 高額な治療費のことを考えると、踏み出せない…
  • 今の治療が本当に合っているのか、不安で仕方がない…


でもどうか、諦めないでください。

当院ではFIPの積極的な治療を行っており、早急な治療提案が可能です。
FIPは早期検査・治療が非常に重要となりますので、ネコちゃんのFIPでお悩みの際は、まずはお電話かLINEでご相談ください。
文字の量・大きさによってレイアウトが崩れる場合がございます
Policy

FIP治療に対する当院の想い

「もう助からない」そう言われた時代の絶望を、私たちは知っています。

だからこそ、「FIPは治せる可能性がある」という今の希望を、全てのご家族に届けたいと強く願っています。安楽死を勧められ、途方に暮れている飼い主様の最後の砦でありたい。その想いを胸に、科学的根拠のある最新の治療法を駆使し、目の前の命と全力で向き合います。

大切な家族との未来を諦めないでください。
私たちが全力でサポートします。
文字の量・大きさによってレイアウトが崩れる場合がございます
About

猫伝染性腹膜炎(FIP)とは

猫伝染性腹膜炎(FIP)は、多くの猫ちゃんが体内に持つ「猫コロナウイルス」が原因で起こる病気です。このウイルス自体は珍しくありませんが、何らかのきっかけで突然変異し、強い炎症を引き起こす「FIPウイルス」に変化することで発症します。

特に、免疫力が未熟な1歳未満の子猫や、体力が落ちてくる8歳以上のシニア猫で発症しやすい傾向があります。

FIPは症状の現れ方から、主に3つのタイプに分けられます。

  • ウェットタイプ:お腹や胸に水が溜まるのが特徴です。
  • ドライタイプ:腎臓や肝臓、脳などに「肉芽腫」と呼ばれるしこりを作ります。
  • 混合タイプ:上記2つの症状が同時に現れます。
文字の量・大きさによってレイアウトが崩れる場合がございます
Symptoms

猫伝染性腹膜炎(FIP)の症状

猫伝染性腹膜炎(FIP)はタイプによって症状が異なりますが、どのタイプにも共通して

  • 食欲が落ちてきた
  • 元気がない
  • 体重が減った
  • 発熱(体が熱い、耳を触ると熱い)
のような初期症状が見られます。

ウェットタイプ

FIPと診断される猫ちゃんの多く(6〜7割)が、このウェットタイプです。
進行が非常に速く、命に直結するため、以下のサインを見逃さないことが重要です。

【ウェットタイプの危険なサイン】 

  • 食欲がなく、元気がない状態が続いている
  • 3日以上、体が熱っぽい(発熱)
  • お腹が水風船のように膨らんできた(腹水)
  • 浅くて速い呼吸をしている、息苦しそう(胸水)
  • 白目や口の中が黄色く見える(黄疸)
  • 嘔吐や下痢が2日以上続いている

特に「お腹の膨らみ」「呼吸の異変」は、ウェットタイプに特徴的な症状です。
このタイプはドライタイプと比べて急激に悪化し、手遅れになってしまうケースも少なくありません。
ためらわずに、すぐ行動することが愛猫の命を救う鍵となります。

ドライタイプ

ドライタイプのFIPは、全体の3〜4割を占め、その症状の分かりにくさから「静かなる病」とも言えます。

ウェットタイプのようにお腹に水が溜まるなどの派手な症状はなく、はじめは「なんとなく元気がない」「食欲が落ちてきた」といった些細な変化しか見られないため、飼い主様自身も気づかないうちに病状がゆっくりと進行していきます。

このタイプのFIPは、体内の様々な臓器に「肉芽腫」という炎症性のしこりを作ります。
そして、そのしこりができた場所によって、全く異なる症状を引き起こすのが最大の特徴です。

【目にできた場合】
  • ぶどう膜炎(目がにごったようになる)
  • 虹彩炎(虹彩が腫れ、充血する)
【脳にできた場合】
  • 歩行のふらつき
  • 麻痺
  • けいれん発作
  • 性格の変化
などの神経症状を引き起こします。
【腎臓や肝臓などにできた場合】
  • 腎障害
  • 肝障害
  • 原因不明の嘔吐や下痢
  • 黄疸
など、各臓器に応じた臨床症状が見られます。
見出し
ここをクリックして表示したいテキストを入力してください。テキストは「右寄せ」「中央寄せ」「左寄せ」といった整列方向、「太字」「斜体」「下線」「取り消し線」、「文字サイズ」「文字色」「文字の背景色」など細かく編集することができます。

混合タイプ

ウエットタイプとドライタイプの両方の症状が混在します。
両方の症状が同時に発生しているため、治療が難しい場合はあります。
文字の量・大きさによってレイアウトが崩れる場合がございます
Treatment

当院の治療の流れ

01

検査・診断

FIPは一つの検査だけで診断を下せるほど単純な病気ではありません。だからこそ当院では、複数の検査を組み合わせて病状を正確に把握する「総合診断」を徹底しています。

  • 血液検査:貧血や炎症反応(SAA)、栄養状態などを数値で確認します。
  • 画像検査:レントゲンやエコーで、胸水・腹水の有無や、ドライタイプに特徴的な内臓のしこり(肉芽腫)がないかを調べます。
  • PCR検査:胸水や腹水が溜まっている場合、ウイルス遺伝子を検出し、FIPであることの強力な証拠とします。

02

治療

かつてFIPは不治の病とされていましたが、近年、治療に高い効果を示す薬が登場し、未来を切り開ける時代になりました。
当院では、世界的な権威である国際猫医学会(ISFM)が推奨する治療ガイドラインに基づき、科学的根拠のある最善の治療法をご提案します。猫ちゃんのタイプや症状に合わせ、最適な治療プランを一緒に考えていきましょう。

03

定期的な経過観察

FIP治療は、ただ薬を飲ませるだけでは終わりません。治療の効果を最大限に引き出すには、猫ちゃんの体重や症状の変化に合わせて、投薬量をミリグラム単位で細かく調整し続ける必要があります。定期的な診察で状態をしっかりチェックし、その時々で最適な投薬量をご提案します。
辛い道のりですが、飼い主様と私たちが二人三脚で力を合わせ、回復というゴールを目指しましょう。

03

小見出し

ここをクリックして表示したいテキストを入力してください。テキストは「右寄せ」「中央寄せ」「左寄せ」といった整列方向、「太字」「斜体」「下線」「取り消し線」、「文字サイズ」「文字色」「文字の背景色」など細かく編集することができます。

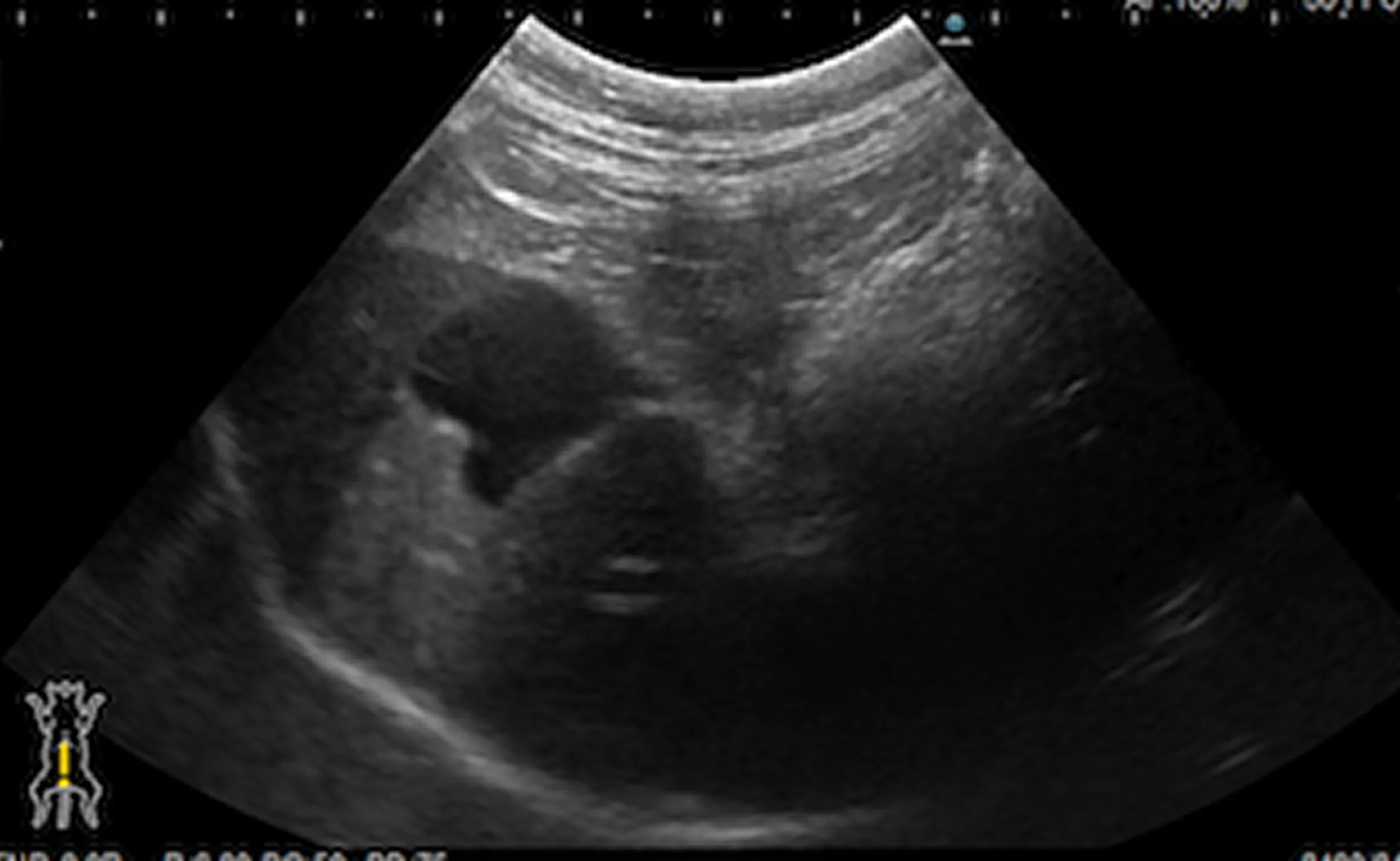
治療前後の超音波検査画像

治療前

黒く見えているところが腹水です。

治療後

腹水は確認できなくなりました。黒く見えているのは胆嚢です。

小見出し

ここをクリックして表示したいテキストを入力してください。テキストは「右寄せ」「中央寄せ」「左寄せ」といった整列方向、「太字」「斜体」「下線」「取り消し線」、「文字サイズ」「文字色」「文字の背景色」など細かく編集することができます。
文字の量・大きさによってレイアウトが崩れる場合がございます
Cost

治療費用

愛猫の治療を考えるとき、費用のことは大きなご不安の一つかと存じます。正直にお伝えすると、FIPの治療は専門的であるため、高額になるケースが少なくありません。

費用は、その子の体重や症状(FIPのタイプや重症度など)によって大きく変わります。また、治療に不可欠なお薬は海外から取り寄せるため、その時々の為替レートなどにも影響を受けます。

ご不安を少しでも解消できるよう、あくまで一例ですが、治療費の目安を以下に示します。

【ウェットタイプ レムデシビル、GS-441524使用】

【3kgの場合】

GS-441524薬代(84日間):498,960円~

【ウェットタイプ モルヌピラビル使用】

【3kgの場合】

モルヌピラビル薬代(84日間):554,400円~

メリット
ここをクリックして表示したいテキストを入力してください。
ここをクリックして表示したいテキストを入力してください。テキストは「右寄せ」「中央寄せ」「左寄せ」といった整列方向、「太字」「斜体」「下線」「取り消し線」、「文字サイズ」「文字色」「文字の背景色」など細かく編集することができます。テキストテキストテキストテキストテキストテキストテキストテキストテキスト...。テキストテキストテキストテキストテキストテキストテキストテキストテキスト...。テキストテキストテキストテキストテキストテキストテキストテキストテキスト...。
文字の量・大きさによってレイアウトが崩れる場合がございます
Information

病院情報

病院名
立川オハナ動物病院
住所
〒190-0015
東京都立川市泉町935-1
ららぽーと立川立飛 ペットパラダイスDX店内
電話番号 042-595-7530
診療時間 午前:10:00~13:30
午後:15:00~17:00

休診日:火曜日
見出し ここをクリックして表示したいテキストを入力してください。テキストは「右寄せ」「中央寄せ」「左寄せ」といった整列方向、「太字」「斜体」「下線」「取り消し線」、「文字サイズ」「文字色」「文字の背景色」など細かく編集することができます。テキストテキストテキストテキストテキストテキストテキストテキストテキスト...。テキストテキストテキストテキストテキストテキストテキストテキストテキスト...。テキストテキストテキストテキストテキストテキストテキストテキストテキスト...。